Terapia endodontica complessa
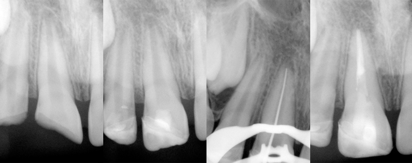
Incisivi laterale e centrale superiori destri fratturati per trauma domestico in bambino di 8 anni.
Il centrale aveva l’apice radicolare non formato e si è proceduto con un incappucciamento diretto per favorire il completamento della formazione dell’apice radicolare (apicogenesi), evitando una difficile chiusura dell’apice (apecificazione), poi il restauro è eseguito utilizzando i frammenti dentali stessi recuperati dai genitori ed infine a distanza di tempo viene effettuata la corretta terapia canalare e la ricostruzione in composito.
